1st Metatarsal Phalangeal Joint (8MHz) - 2007

1st Met Phalangeal Joint (18MHz) - 2016

Achilles Tendon (8MHz) - 2007

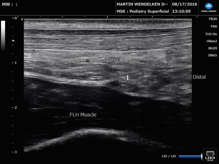
Achilles Tendon (18MHz) - 2016

Ganglion Cyst (8MHz) - 2007

Ganglion Cyst (18MHz) - 2016

Plantar Fascia Tear (8MHz) - 2007

Plantar Fascia Tear (18MHz) - 2016

Flexor Tendon (8MHz) - 2007

Flexor Tendon (18MHz) - 2016

Post Tibial Tendon Long (8MHz) - 2007

Post Tibial Tendon Long (18MHz) - 2016

Tarsal Tunnel (8MHz) - 2007

Tarsal Tunnel (18MHz) - 2016

Transverse 1st MPJ (8MHz) - 2007

Transverse 1st MPJ (18MHz) - 2016
